壮药小黄草生药学鉴别研究
壮药小黄草生药学鉴别研究
陈龙,韦安达,戴忠华,樊柳园
(beat365正版唯一入口必一,南宁 530200)摘 要: 目的 壮药小黄草生药学鉴别研究。方法 原植物鉴别、性状鉴别、显微鉴别、薄层鉴别四大鉴别法。 结果 多年附生草本,茎圆柱形,叶纸质,无柄,萼囊短、钝,花瓣椭圆形;茎横切面类圆形,表皮细胞较小,类长方形,排列紧密,外被金黄色角质层;以石油醚-乙酸乙酯-冰醋酸(8∶3∶4d)为展开剂,以10%硫酸乙醇溶液为显色剂,供试品与对照药材显相同颜色的斑点。结论 以上特征明显、稳定,可作为壮药小黄草生药学鉴别依据。
关键词:小黄草;生药学;鉴别
小黄草[1],为兰科植物美花石斛 Dendrobium loddigesii Rolfe. 的干燥茎,又名粉花石斛、环草石斛,附生于树上或林下岩石上,主产于广东、广西、贵州、云南等地。
小黄草是广西常见的石斛品种,数量较多,是石斛药材来源的重要品种之一,载于各版药典,是环草石斛、小黄草等石斛药材的重要来源,也是我国香港及东南亚石斛市场的主流品种之一。
1 本草考证
《神农本草经》[2]中首次记载了“石斛”一名,即“石斛、味甘平。主伤中除痹下气。补五藏虚劳羸瘦。强阴。久服厚肠胃。轻身延年。一名林兰。”南北朝·梁《本草经集注》[3]记载:“一名林兰,一名禁生,一名杜兰,一名石蓫。生六安山谷水旁石上。”《名医别录》(据《本草纲目》转引)[4]也记载称:“今用石斛出始兴。生石上,细实。以桑灰汤沃之,色如金,形如蚱蜢髀者佳,……,其生栎木上者名木斛,其茎至虚,长大而色浅,不入丸药,惟可酒渍煮(汤)用。俗方最以补虚,疗脚膝。”唐《新修本草》[5,6]除原有研究基础之外又增加了一些新的内容:“始安亦产”、“今荆襄及江左又有两种,一者似大麦,累累相连,头生一叶……(麦斛);一种大如雀髀,名雀髀斛,……亦如麦斛,叶在茎端。其余斛如竹,节间生叶也。”明李时珍的《本草纲目》[6]中也有对石斛的描述,“石斛名义未详。其茎状如金钗之股,故古有金钗石斛之称。”清代亦有多部本草记载了石斛相关内容。赵学敏《本草纲目拾遗》,吴其濬《植物名实图考》中记载了有关石斛品种及性状的描述[6],如霍山石斛。新中国成立以来,也有多部本草书籍记载“石斛”描述和资料。
2 生药学鉴别
小黄草药材分别采于广西区内不同月份、不同产地,共11个批次,经鉴定为兰科植物美花石斛 Dendrobium loddigesii Rolfe. 的干燥茎。完成样品收集后,将所有11份样品进行粉碎处理,并统一过20目筛,备用。
样品采集详细信息见表3-1。
表3-1 小黄草样品信息
| 编号 | 采集时间 | 产地/采集地点/批号 | 药用部位 | 样品状态 |
| XHC-1 | 2014.05 | 来宾市金秀县 | 茎 | 药材 |
| XHC-2 | 2014.09 | 百色 | 茎 | 药材 |
| XHC-3 | 2014.10 | 河池市大化县沿滩镇 | 茎 | 药材 |
| XHC-4 | 2014.11 | 宜州市叶茂村 | 茎 | 药材 |
| XHC-5 | 2015.05 | 河池市 | 茎 | 药材 |
| XHC-6 | 2015.06 | 百色市靖西县 | 茎 | 药材 |
| XHC-7 | 2015.07 | 崇左市龙州县 | 茎 | 药材 |
| XHC-8 | 2015.07 | 云南 | 茎 | 药材 |
| XHC-9 | 2015.07 | 河池市 | 茎 | 药材 |
| XHC-10 | 2015.08 | 云南 | 茎 | 药材 |
| XHC-11 | 2015.09 | 崇左市龙州县 | 茎 | 药材 |
2.1 原植物鉴别 多年附生草本。茎圆柱形,高10~45cm,直径2~7mm,基部略细。叶纸质,长圆柱披针形或舌形,长4~6cm,宽1.2~1.8cm,先端锐尖而略钩转;无柄;叶稍松抱于茎,鞘口张开。花单生,淡玫瑰色;苞片小;中萼片卵状长圆形,长1.7~1.9cm,宽约6mm,先端钝,侧萼片比中萼片长,但较窄,先端锐尖;萼囊短、钝;花瓣椭圆形,较宽,等长于中萼片,先端钝,边缘多少有齿;唇瓣近圆形,唇盘凹陷,被短柔毛,3条线纹从基部直达先端,边缘流苏状;合蕊柱短。花期4~5月。见图3-1。
![]() |
图3-1 小黄草原植物图
2.2 性状鉴别[7,8] 鲜药材为黄绿色。药材茎细长圆柱形,常弯曲,长11~40cm,直径1~3mm,节间长0.4~2.3cm。表面金黄色,有光泽,具细纵纹。质柔韧而实,断面较平坦。气无,味较苫,有粘性。见图3-2.。
![]() |
图3-2 小黄草干药材图
2.3 显微鉴别:
2.3.1 茎横切面特征 表皮细胞1列,扁平,外被鲜黄色角质层;皮下层细胞1~2列,壁薄,角隅微木化;基本组织细胞大小相近或差异,散在多数外韧型维管束,略排成4~6圈;维管束外侧纤维束新月形或半圆形,其外侧薄壁细胞有的含类圆形硅质块;有的薄壁细胞中含草酸钙针晶。见图3-3。
![]() |
图3-3小黄草茎横切面特征图
1.表皮细胞 2.薄壁细胞 3.韧皮部 4.木质部
2.3.2 粉末特征 粉末黄棕色。纤维多成束或散在,微木化,维管束上镶嵌硅质块细胞,排列成纵行;草酸钙针晶存在于薄壁细胞中,或散在;木纤维长梭形,多成束,纹孔较多;导管为螺纹导管;淀粉粒较多,散在或成团存在于薄壁细胞中;薄壁细胞椭圆形或类圆形,具纹孔;棕色块散在。见图3-4。
![]() |
图3-4 小黄草粉末特征图
1表皮细胞(1a侧面观,1b表面观) 2纤维 3棕色块
4草酸钙针晶 5淀粉粒 6硅质块 7导管 8薄壁细胞
2.4 薄层鉴别
2.4.1 提取溶剂的考察:选取水、乙酸乙酯、甲醇、50%乙醇、95%乙醇等五种不同极性的溶剂进行考察,其中以甲醇提取液斑点清晰圆润。故采用甲醇作为提取溶剂。
2.4.2 提取方法的摸索:以甲醇为提取溶剂,先后、冷浸、回流的方法进行考察,通过比较发现,三种提取方法的薄层色谱图基本一致。但超声提取方法可检视斑点更清晰,干扰较少,且从操作简易,节省时间考虑,本实验采用超声提取30min的方法。
2.4.3 点样量的考察:将制好的供试品溶液先后点样2.5μl、5μl、7.5μl、10μl于同一薄层板,结果以点样量为5μl时,主斑点较圆润且明显,故供试品药材提取溶液点取样量均采用5μl。
2.4.4 展开系统的考察:先后采用石油醚-丙酮-冰醋酸(8∶5:4d)、石油醚-乙酸乙酯-冰醋酸(8∶3∶4d)等展开系统对小黄草的甲醇提取液进行考察,通过比较发现,以石油醚-乙酸乙酯-冰醋酸(8∶3∶4d)为展开剂,展开效果较好,斑点集中,Rf值适中。
2.4.5 显色剂的考察:先后采用1%三氯化铝乙醇溶液、10%硫酸乙醇溶液、10%磷钼酸乙醇溶液等显色剂进行考察,通过比较发现,以10%硫酸乙醇溶液显色时,四个粉色斑点清晰,且较稳定。
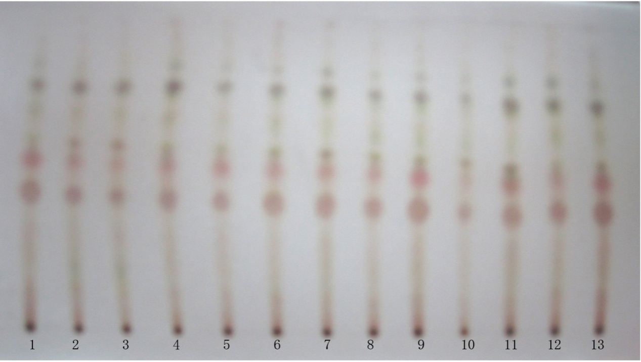
通过对选定的薄层条件反复试验,其结果稳定、可靠。不同批次小黄草薄层色谱鉴别图见图3-5。
![]() |
图3-5 小黄草样品TLC图
1.XHC-1(对照药材) 2.XHC-2 3.XHC-3 4.XHC-4 5.XHC-5 6.XHC-6 7.XHC-7 8.XHC-8 9.XHC-9 10.XHC-10 11.XHC-11 12.XHC-12 13.XHC-1(对照药材)
色谱条件: 硅胶G薄层预制板
规格:10 cm×20 cm
点样量:5μl;温度:15 ℃;相对湿度:60 RH%
展开剂:石油醚-乙酸乙酯-冰醋酸(8∶3∶4d)
显色剂:10%硫酸乙醇溶液
3 限量检查
3.1 水分 按照2015年版《中国药典》(四部)0832项下说水分测定法测定,结果详见表3-2。
表3-2 小黄草样品水分测定结果(n=3)
| 编号 | 水分(%) | 平均含量(%) | RSD(%) |
| XHC-1 | 10.64 | 10.61 | 0.35 |
| 10.63 | |||
| 10.57 | |||
| XHC-2 | 10.30 | 10.25 | 0.44 |
| 10.22 | |||
| 10.23 | |||
| XHC-3 | 9.92 | 9.92 | 0.09 |
| 9.93 | |||
| 9.92 | |||
| XHC-4 | 10.2 | 10.23 | 0.32 |
| 10.27 | |||
| 10.23 | |||
| XHC-5 | 9.02 | 8.97 | 0.45 |
| 8.94 | |||
| 8.96 | |||
| XHC-6 | 6.86 | 6.87 | 0.14 |
| 6.88 | |||
| 6.86 | |||
| XHC-7 | 6.89 | 6.71 | 4.74 |
| 6.34 | |||
| 6.89 | |||
| XHC-8 | 8.26 | 8.30 | 0.46 |
| 8.34 | |||
| 8.31 | |||
| XHC-9 | 8.33 | 8.22 | 1.39 |
| 8.22 | |||
| 8.10 | |||
| XHC-10 | 7.17 | 7.19 | 0.29 |
| 7.19 | |||
| 7.20 | |||
| XHC-11 | 13.24 | 13.26 | 0.46 |
| 13.22 | |||
| 13.33 |
数据结果表明,11批样品的水分含量在6.71%~13.26%之间,符合药典中规定的药材水分含量。
3.2 总灰分 按2015年版《中国药典》(四部)2302项下总灰分测定法测定,结果详见表3-3。
表3-3 小黄草样品总灰分测定结果(n=3)
| 编号 | 总灰分(%) | 平均含量(%) | RSD(%) |
| XHC-1 | 4.07 | 4.13 | 1.49 |
| 4.20 | |||
| 4.14 | |||
| XHC-2 | 5.31 | 5.26 | 0.87 |
| 5.27 | |||
| 5.22 | |||
| XHC-3 | 5.31 | 5.26 | 0.87 |
| 5.27 | |||
| 5.22 | |||
| XHC-4 | 4.01 | 4.00 | 0.66 |
| 3.97 | |||
| 4.02 | |||
| XHC-5 | 3.74 | 3.73 | 1.06 |
| 3.76 | |||
| 3.69 | |||
| XHC-6 | 4.86 | 4.77 | 2.35 |
| 4.80 | |||
| 4.64 | |||
| XHC-7 | 6.74 | 6.59 | 1.94 |
| 6.53 | |||
| 6.51 | |||
| XHC-8 | 4.52 | 4.67 | 2.97 |
| 4.68 | |||
| 4.80 | |||
| XHC-9 | 4.69 | 4.72 | 0.51 |
| 4.74 | |||
| 4.73 | |||
| XHC-10 | 6.66 | 6.76 | 2.15 |
| 6.93 | |||
| 6.70 | |||
| XHC-11 | 7.18 | 7.19 | 0.98 |
| 7.12 | |||
| 7.26 |
数据结果表明,11批药材的总灰分含量为3.73%~7.19%,最高含量上浮不超过20%,则小黄草药材总灰分含量不得超过8.0%
3.3 酸不溶性灰分 按2015年版《中国药典》(四部)2302项下酸不溶性灰分测定法,结果详见表3-4。
表3-4 小黄草样品酸不溶性灰分测定结果(n=3)
| 编号 | 酸不溶性灰分(%) | 平均含量(%) | RSD(%) |
| XHC-1 | 0.42 | 0.42 | 0.46 |
| 0.41 | |||
| 0.42 | |||
| XHC-2 | 0.8 | 0.81 | 0.85 |
| 0.81 | |||
| 0.82 | |||
| XHC-3 | 0.30 | 0.31 | 3.20 |
| 0.31 | |||
| 0.32 | |||
| XHC-4 | 0.43 | 0.43 | 1.56 |
| 0.43 | |||
| 0.42 | |||
| XHC-5 | 0.29 | 0.29 | 1.93 |
| 0.29 | |||
| 0.30 | |||
| XHC-6 | 0.66 | 0.66 | 1.04 |
| 0.67 | |||
| 0.66 | |||
| XHC-7 | 0.47 | 0.46 | 1.49 |
| 0.46 | |||
| 0.46 | |||
| XHC-8 | 0.35 | 0.36 | 1.35 |
| 0.36 | |||
| 0.36 | |||
| XHC-9 | 0.37 | 0.37 | 1.95 |
| 0.38 | |||
| 0.37 | |||
| XHC-10 | 0.85 | 0.84 | 0.40 |
| 0.84 | |||
| 0.84 | |||
| XHC-11 | 0.83 | 0.81 | 0.85 |
| 0.81 | |||
| 0.80 |
数据结果表明,11批药材的酸不溶灰分含量在0.29%~0.84%之间,最高含量上浮不超过20%,则小黄草药材酸不溶灰分不得超过1.0%。
3.4 浸出物浸出物 按照2015年版《中国药典》2201项下水溶性浸出物测定法、醇溶性浸出物测定法进行测定,通过实验可知,小黄草浸出物热浸法含量高于冷浸法,故采用热浸法。醇溶性浸出物高于水溶性浸出物,且30%乙醇的浸出物最高,故采用30%乙醇为提取溶剂。
照醇溶性浸出物测定法项下的热浸法(《中国药典》2015年版四部2201项下)测定,用30%乙醇作溶剂,不同批次小黄草药材浸出物测定结果详见表3-5。
表3-5 小黄草样品浸出物测定结果(n=3)
| 编号 | 浸出物(%) | 平均含量(%) | RSD(%) |
| XHC-1 | 12.67 | 12.73 | 2.14 |
| 13.02 | |||
| 12.49 | |||
| XHC-2 | 9.59 | 9.64 | 1.43 |
| 9.53 | |||
| 9.80 | |||
| XHC-3 | 8.92 | 9.03 | 2.87 |
| 8.85 | |||
| 9.33 | |||
| XHC-4 | 12.36 | 12.18 | 2.72 |
| 11.80 | |||
| 12.38 | |||
| XHC-5 | 10.06 | 10.33 | 2.36 |
| 10.54 | |||
| 10.37 | |||
| XHC-6 | 6.79 | 6.71 | 1.25 |
| 6.62 | |||
| 6.73 | |||
| XHC-7 | 7.56 | 7.54 | 0.84 |
| 7.59 | |||
| 7.47 | |||
| XHC-8 | 11.01 | 11.18 | 1.30 |
| 11.29 | |||
| 11.23 | |||
| XHC-9 | 5.80 | 5.64 | 2.88 |
| 5.64 | |||
| 5.47 | |||
| XHC-10 | 12.68 | 12.65 | 1.45 |
| 12.81 | |||
| 12.45 | |||
| XHC-11 | 12.62 | 12.54 | 0.60 |
| 12.47 | |||
| 12.53 |
数据结果表明,小黄草30%乙醇浸出物的含量为5.64%~12.73%,最低含量下调不超过20%,小黄草醇浸出物含量不得低于5.0%。
4 结论
对小黄草的生药学研究结果表明,小黄草为多年附生草本,茎圆柱形,叶纸质,无柄,萼囊短、钝,花瓣椭圆形;茎横切面类圆形,表皮细胞较小,类长方形,排列紧密,外被金黄色角质层;以石油醚-乙酸乙酯-冰醋酸(8∶3∶4d)为展开剂,以10%硫酸乙醇溶液为显色剂,供试品与对照药材显相同颜色的斑点。以上特征可作为蝴蝶花的生药学鉴别依据。
参考文献
[1] 朱华,韦松基主编. 常用壮药生药学质量标准研究[M].南宁:广西民族出版社,2003.78.
[2](魏)吴普等述.(清)孙星衍、孙冯翼辑.神农本草经三卷[DB].中华古籍数据库珍藏
[3]南北朝·梁 陶弘景.本草经集注[M].人民卫生出版社.北京.1994:208.
[4]武孔媛.环草石斛药材质量分析及评价方法的研究[D].北京:北京中医药大学,2008
[5]唐·苏敬,等.新修本草卷第六.草部上品之上.上海:上海卫生出版社,1957,162.
[6]滕建北,万德光,王孝勋.石斛名实及功效的本草考证[J].中药材,2013,11:1876-1880.
[7]朱华,傅鹏主编. 壮药材锡叶藤、兰香草、大叶金花草、耳草的研究[M].南宁:广西科技出版社,2016.156.
[8]朱华,傅鹏,苏健主编. 壮药材石仙桃、昂天莲的研究[M].南宁:广西科技出版社,2017.169.






单点登录
账号密码登录