APSB∣基于空气动力辅助离子化质谱成像的马兜铃酸肾毒性原位代谢组学研究

背景介绍
AAs具有抗病毒、抗菌和抗肿瘤等活性,但同时也具有肾毒性,目前与AAs相关的肾损伤和功能障碍的潜在机制仍不完全清楚。之前已开发了基于LC-MS、GC-MS的代谢组学方法来研究AAs的肾毒性,但对它们在肾脏内的空间分布了解甚少。本论文采用基于AFADESI-MSI的原位代谢组学方法,将AFADESI与超高分辨率Q-OT-qIT质谱仪结合用于研究AAs引起的肾毒性作用,揭示AAs诱导的肾毒性背后的复杂病理过程。实验设计
1.样品制备和生化分析将大鼠随机分为AAs致肾毒性组(n=6)和对照组(n=6),分别收集24h尿液样品和血液样品(血液样品经离心后获得血清)进行生化分析。随后将大鼠处死速冻后,将肾脏切成10 μm的切片,并用H&E染色以显示组织病理学病变。
2.AFADESI-MSI分析和数据处理
采用AFADESI分析大鼠肾脏切片,以200 μm/s的恒定速率在x方向上连续扫描组织表面,并在y方向上间隔200 μm在正离子模式下采集数据,扫描范围为m/z 100-1000,随后使用Xcalibur软件获取数据导入MassImager中进行离子图像重建,再采用Markerview™、SIMCA-P进行多变量统计分析(图1)。

图1
实验结果
1.AFADESI-MSI条件的优化实验结果
通过分析同一大鼠肾脏的相邻组织切片,研究质量分辨率对选择性、灵敏度和空间分辨率的影响。结果如图2所示,当分辨率从30000提高至240000时,可有效分离相差仅0.02 Da的信号,从而改善图像的选择性。但扫描速度随分辨率的提高而降低,这可能会影响分析的灵敏度和空间分辨率。最终选择分辨率为120000,以在选择性、灵敏度和空间分辨率之间取得良好的平衡。

图2.大鼠肾脏中m/z接近的代谢物图像
通过连续3天分析相邻肾脏切片评估AFADESI-MSI方法的重现性。将9种代表性代谢物进行提取和比较,并计算皮质、外延髓和内延髓中这些代谢物相对强度的RSD以评估日内精密度。其中甜菜碱、甘油磷酸胆碱和PE(36:4)的重现性如图3所示,结果发现大部分代谢物相对强度的RSD<20%,这表明AFADESI-MSI可以可重现地提供半定量数据。

图3. AFADESI-MSI方法的重现性
2.AAI治疗大鼠的肾损伤评估表1为体重和生化参数。结果表明,AAI治疗大鼠的体重下降,尿蛋白(Upr)、尿蛋白-肌酐比(Upr/Ucr)和肌酐(Ucr)增加,这表明AAI引起了大鼠的肾毒性作用。此外在AAI治疗组中血清甘油三酸酯增加,但两组之间的血清胆固醇酯、血清HDL和血清LDL无明显差异。

表1

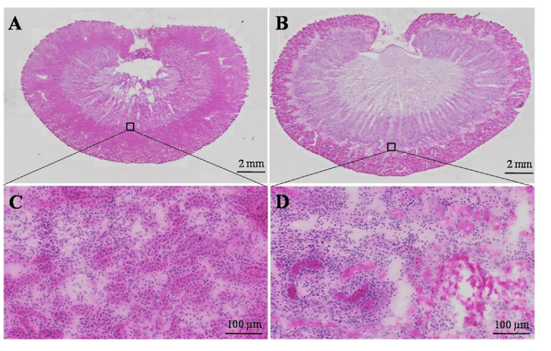
图4.(A)对照和(B)AAI治疗大鼠肾脏切片的H&E染色结果
3.AFADESI-MSI分析采用AFADESI-MSI在正离子模式下检测对照组和AAI治疗组的大鼠肾脏切片以研究AAI对大鼠肾脏的生物学效应。在肾皮质、外延髓和内延髓分别检测到512、368和388个生物学信息峰。图5为肾皮质、外延髓和内延髓的OPLS-DA散点图,结果发现AFADESI-MSI可将对照组的三个区域清楚分开,但AAI治疗组中的三个区域之间分离趋势不明显,可能是由于AAI对肾脏不同形态区域的代谢物具有组织特异性作用。

图5.对照组(A)和AAI治疗组(B)的OPLS-DA得分图
随后进行了一系列OPLS-DA分析,以进一步研究AAI对肾皮质、外延髓和内延髓的影响。结果如图6所示,AAI治疗后肾皮质的代谢组学改变比外延髓和内延髓的改变更明显,这表明肾皮质比延髓更易受AAI影响。基于预测阈值>1.0和P<0.05的变量重要性,分别选择了85、65和51个变量作为AAI诱导的肾皮质、外延髓和内延髓毒性的潜在生物标志物,然后通过MS/MS初步鉴定出38个差异代谢物(表2)。为进一步评估这些代谢物与AAI引起的肾毒性的关系,提取了这些代谢物的离子图像,并与相邻切片H&E染色获得的组织学特征进行比较。结果表明,这些代谢物的分布与组织病理学肾脏病变表现出良好的空间匹配性。

图6.OPLS-DA分析

表2
4.讨论4.1 精氨酸-肌酸代谢途径和尿素循环的改变
精氨酸、肌酐的增加表明AAI可导致精氨酸-肌酸代谢途径上调,同时髓质中亚精胺浓度的增加也表明AAI可导致尿素循环代谢途径的功能障碍,这与先前的研究发现一致(图7)。

图7.精氨酸肌酐代谢途径中代谢物空间分布
在AAI治疗大鼠的肾皮质和延髓中胆碱和甘油磷酸胆碱增加,而在肾外髓质中甜菜碱和脯氨酸甜菜碱降低,这表明在AAI治疗的大鼠中有机离子转运发生改变(图8)。

图8.胆碱代谢相关的代谢物的空间分布
肾髓质中肉碱和棕榈酰肉碱的浓度显著增加,尤其是在AAI治疗的大鼠的肾脏的近髓质皮层中(图9)。肉碱的积累和亚油酰基肉碱的减少表明AAI会导致肾脏线粒体功能障碍,各种脂质的上调或下调也表明AAI可导致脂肪酸代谢紊乱。

图9.脂质代谢相关的代谢产物的空间分布
N-乙酰组胺在肾脏近髓质皮层中上调,表明AAI可能引起了肾脏近髓质皮层的类过敏反应;近髓质皮层中磷酸丝氨酸的上调可能反映了丝氨酸合成的增加或肾脏过滤的改变;AAI治疗可导致肾髓质中肌苷降低,肌苷是氧化应激的标记,表明AAI可能导致肾脏线粒体功能障碍和能量代谢的中断;AAI治疗大鼠中果糖基赖氨酸降低,可能反映了AAI治疗的大鼠中肾脏转运蛋白活性的改变(图10)。

图10. N-乙酰组胺、磷酸丝氨酸、肌苷和果糖基赖氨酸的空间分布
总结
本研究开发了一种基于AFADESI-MSI的原位代谢组学方法用于研究由AAI引起的肾毒性的潜在分子机制,该方法能够高通量和高分子特异性的可视化内源性代谢物的分布和变化,且无需标记和复杂的样品预处理。结果发现在AAI治疗的大鼠中有38种代谢物的分布发生了显著变化。通过AFADESI-MSI分析获得的分子图像与组织学染色对比,有助于发现与药物毒性密切相关的生物标志物。原文文献
Wang Z , He B , Liu Y , et al. In situ metabolomics in nephrotoxicity of aristolochic acids based on air flow-assisted desorption electrospray ionization mass spectrometry imaging[J]. Acta Pharmaceutica Sinica. B, 2020, 10(6).https://www.sciencedirect.com/science/article/pii/S2211383519310718
缩略语
AAs:Aristolochic acids,马兜铃酸;AFADESI-MSI:air flow-assisted desorption electrospray ionization mass spectrometry imaging,基于空气动力辅助离子化的质谱成像技术;Upr:urine protein,尿蛋白(Upr);Ucr:creatinine,肌酐。

单点登录
账号密码登录