-
beat365正版唯一入口必一第一附属医院手术室的大门缓缓打开,外六科张高炼主任医师拿着手术切下来的脑肿瘤对一病人的女儿说:“小罗,您爸爸的巨大脑肿瘤已完全切除,手术很顺利”。此情此景,患者的女儿眼泪夺眶而出,激动地说:“张主任,谢谢你们!非常感谢……”。 原来,一附院外六科为一患者罗某成功切除了其颅内的矢状窦傍巨大脑膜瘤。事情的缘由,还得从患者的病情说起。 患者罗某,男,57岁。因“右侧肢体无力3年,行走不能...03.052013
-
“哈哈,我赢啦”、“你看,我拿了好多奖品”……2013年3月2日上午南宁市石门森林公园的草地上充满了欢声笑语。由我院工会和妇委会联合举办的“瑞康医院迎‘三·八国际劳动妇女节’游园健步走活动”在这里举行,医院党委书记唐友明、副院长高宏君与医院200多名女职工参加游园健步活动。 活动开始前,党委书记唐友明向全体女职工致以节日的问候,他向一直以来辛勤工作的女职工们表示感谢,赞扬她们在为了兼顾工作和家庭不辞...03.052013
-
V\:*{behavior:url(#default#VML);}O\:*{behavior:url(#default#VML);}W\:*{behavior:url(#default#VML);} 春节刚过,喜庆气氛尚未散去,来自广西平南的赵大妈却无法享受节日的欢乐。因为手术的原因,她已经在我院肝胆肠外科的病床上躺了两个星期了,现在赵大妈急切地期望能够早点康复,结束那不堪忍受的胃痛。 “今年5月份的时候胃疼得受不了,走不了路,干不了活,连觉都睡不着。除了粥什么都吃不下,到现在已经吃了半...03.012013
-
V\:*{behavior:url(#default#VML);}O\:*{behavior:url(#default#VML);}W\:*{behavior:url(#default#VML);} 春发是个不幸的90后,他成长在广西贵港平南的偏远小山村一个单亲家庭里,自幼与父亲相依为命,更不幸的是,他患有先天性心脏病法洛氏四联症。然而,就在他20岁这一年,他遇到了幸运之神,在瑞康医院心胸外科获得了无数好心人的帮助,命运有了转机。 春发从出生时起就有典型的法洛氏四联症症状,体质弱,爱...03.012013
-
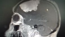
大脑,这个人体最精密的器官长出个巨大脑膜瘤,这是多么可怕的事。回忆起自己小叔子的这个遭遇,张秀娟不寒而栗:“太可怕了,多亏这里的医生有高超的技术,要不真不敢想象后果会是怎么样。” 她所说的“这里”,就是beat365正版唯一入口必一第一附属医院外六科。 据她介绍,小叔子卜先生今年35岁,去年7月份出现无明显诱因的头痛,双眼看东西时有重影,而且病情逐渐加重,出现了右侧眼睑下垂,看东西重影现象愈发严重,行走不稳,上...02.222013
-
春节将至,为了让广大职工和困难职工过欢乐、温暖、祥和的春节,2013年2月5-7日一附院开展了以“温暖和谐迎新年”为主题的“送温暖”活动。 医院党委书记李敏智、院长黄贵华、副书记、副院长吴西西、副院长卢健棋、桂雄斌、周建国、钟远鸣及相关职能部门负责人深入临床一线、职工家庭,走访慰问省部级劳模、离休老干部、老党员、全国名老中医、困难党员、建档在册的困难职工、住院职工等共80人,为他们送去了慰问金、年货,...02.082013
-
在2013年春节长假到来之际,为强化一附院院应对各类突发公共卫生事件的应急反应能力,提高医院突发公共卫生事件医疗卫生救援水平,一附院于2月7日中午检查了全院临床科室急会诊制度落实情况,对科间协作、应急处置能力进行评估,并进行了模拟食物中毒的突发公共卫生事件的应急处理演练。医院桂雄斌副院长亲自到现场指导、督查了整个演练过程。 急会诊制度的检查主要由医院副院长桂雄斌、医疗服务监管办主任王清坚担任演练总指...02.082013
-
Normal 0 7.8 磅 0 2 false false false EN-US ZH-CN X-NONE MicrosoftInternetExplorer402.042013
-
近日,从卫生部获悉(《关于表彰全国卫生系统先进集体、先进工作者及“白求恩奖章”获得者的决定》人社部发〔2012〕96号),一附院荣获人力资源社会保障部、卫生部、国家中医药管理局联合授予“全国卫生系统先进集体”的荣誉称号,这标志着一附院的综合实力又迈上了一个新的台阶。这一荣誉的取得是全体广中医人的荣誉,是全院职工集体智慧和汗水的结晶,这将极大促进一附院的全面快速协调发展,也将会极大激发广大医务工作者的...01.312013
-
2013年1月29日,在一附院精心组织和南宁市中心血站的积极筹备下,一附院成功举办了冬季无偿献血活动。为了开展好此次献血工作,医院办公室和南宁市中心血站早安排、早协调,在此之前开展了相应的宣传动员工作。在采血现场,广大职工按照血站工作人员的指挥,有序地进行填表、采样、采血等工作,整个活动取得了预期的成效。据统计,此次参加献血职工共有62人,共献血17500毫升。 无偿献血是挽救他人生命的一种高尚行为,也是一...01.302013

单点登录
账号密码登录