一附院外六科中西医结合成功救治一恶性脑肿瘤并脑疝危重患者
患者虞琼(化名),女,22岁,在校大学生。因“反复左眼疼痛2年,突发头痛、四肢痉挛4小时”于2013年5月19 日凌晨4时急来诊,拟“左枕叶脑出血原因待查”收入一附院外六科救治。
患者于2年前开始出现左眼眶周疼痛,之后左眼视力逐渐下降,曾在柳州、南宁等多家医院就诊,症状无明显好转。入院4个小时前在睡眠中突然出现剧烈头痛,伴有四肢麻木痉挛,呕吐胃容物一次,之后症状迅速加重,遂到我院急诊科就诊。患者入院2个多小时出现烦躁、神志不清、昏迷,左侧瞳孔散大。面对病情突发恶化,该科副主任,当班的二线医师张高炼主任医师紧急会诊并组织科室人员进行讨论,经过详细专科检查,并参阅影像资料,患者病情考虑为“脑肿瘤卒中并脑疝形成”。鉴于患者恶性脑肿瘤合并急危重并发症,生命垂危,必须尽快开颅手术抢救。
经紧急术前准备,患者很快送进了手术室,麻醉插管、生命监测、消毒铺巾等有序展开。打开患者颅骨可见脑膜似硬皮球样坚硬,脑膜张力大、脑压极高;切开脑膜后,见大面积脑组织受肿瘤侵犯,大量变性脑组织及肿瘤组织外涌,肿瘤大小约80×70×70MM3,肿瘤边界不清,血供丰富。经缓慢减压,清除血肿,仔细分离肿瘤,成功切除全部脑肿瘤组织及血肿。术后病理报告:间变型星形胶原细胞瘤(Ⅲ级)。
患者术后神志仍处于昏迷状态,出现不稳定发热,右侧肢体瘫痪无缓解。经全科讨论,确定辅以中医中药疗法,经合参四诊,患者罹病属中医学之“中风-中经络”范畴,病位在脑脉,病性本虚标实,治以息风化痰,化瘀通络为法,方拟化痰通络汤加减。经过一周的中药方剂治疗,患者头痛等症状明显改善,神志逐渐清醒,语言、记忆力及视力恢复正常,四肢肌力Ⅴ级,能自立行走。
颅内间变型星形胶原细胞瘤属恶性脑肿瘤,并且恶性程度大,死亡率高。一附院外六科集中西医专家之经验及集体智慧,与死神搏斗,采用中西医结合方法成功救治了该例恶性脑瘤并危象患者,目前患者日见康复,预计近日即可出院返校。

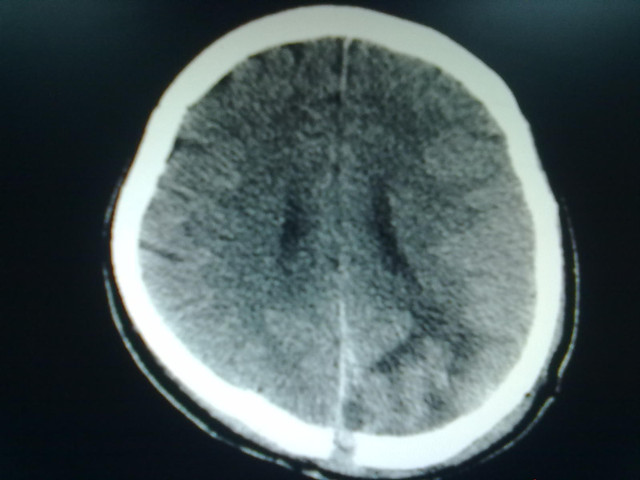
术前影像学改变

术后复查

患者与外六科经治医师合影

单点登录
账号密码登录