一附院首例完全胸腔镜肺癌根治手术成功
电视胸腔镜手术(Video-Assisted Thoracic Surgery,VATS) 被视为二十世纪胸部外科革命性的一大突破,在胸外疾病诊断、治疗中应用范围广,几乎囊括了胸外科各种疾病的检查和治疗;其中全胸腔镜肺叶切除术代表了胸腔镜技术的制高点,是胸部微创外科皇冠上的一颗明珠。日前,一附院外七科在成功开展近百例胸腔镜微创胸部疾病手术的基础上,又成功完成全胸腔镜下肺叶切除+纵隔淋巴结清扫术,患者现已经康复出院。该手术的成功标志着一附院外七科的胸腔镜技术又上了一个新台阶,一附院胸外科微创手术技术已与国内、国际先进水平接轨。

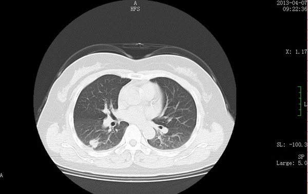
CT示右肺下叶结节(肺窗)

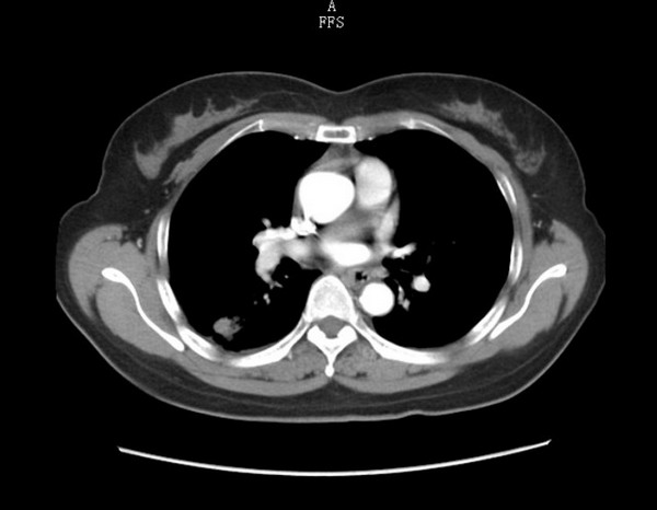
CT示右肺下叶结节(纵膈窗)

单点登录
账号密码登录