瑞康医院神经外科成功开展介入手术微创治疗复杂脑动脉瘤
近期瑞康医院神经外科成功开展介入手术微创治疗1例复杂脑动脉瘤,该患者已康复出院。
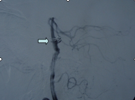
吴某,56岁,因突发昏迷1小时急诊入院。入院时深昏迷,呼吸微弱,血氧和血压降低,双侧瞳孔散大,对光反射迟钝,急诊头颅CT提示蛛网膜下腔出血。入院诊断考虑是脑动脉瘤破裂,紧急行气管插管、止血降颅压等抢救措施,同时放射科陆秀伟主任急诊行全脑血管造影,结果提示基底动脉巨大的动脉瘤(图一)。科主任范学政教授紧急组织全院会诊,组成了包括神经外科、重症医学科、呼吸科、放射科专家抢救小组,采取镇静、脱水、抗血管痉挛以及支持和对症等抢救措施,并病情和影像资料传输到神经外科协助医院四川大学华西医院神经外科远程会诊,会诊认为该病人最佳的治疗方案是行血管内介入治疗。经过充分准备,于入院4日后在华西医院神经外科张昌伟教授联合瑞康医院神经外科医生为患者进行了支架辅助下基底动脉瘤弹簧圈栓塞术,术后行脑血管造影显示动脉瘤完全栓塞(图二)。术后继续予抗血管痉挛等治疗,术后第二天出现呼吸衰竭,肺部感染,后经转入ICU、呼吸科、予以支持、抗感染治疗等综合治疗,术后10天病人清醒,目前患者已经康复出院。
范学政教授介绍脑动脉瘤是致死率非常高的疾病,动脉瘤首次破裂后如果不经开颅夹闭或介入栓塞治疗,动脉瘤若再次破裂将会危及病人生命。因为该部位动脉瘤位置深,无法行手术夹闭,介入栓塞是该病人理想的治疗方案。
介入手术做为脑血管疾病重要的诊断和治疗手段,目前已经在瑞康医院神经外科常规开展。

基底动脉瘤

动脉瘤介入栓塞后

单点登录
账号密码登录